Eine freie Initiative von Menschen bei mit online Lesekreisen, Übungsgruppen, Vorträgen ... |
| Use Google Translate for a raw translation of our pages into more than 100 languages. Please note that some mistranslations can occur due to machine translation. |
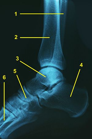
Sprunggelenk

Legende:
1 – Wadenbein (Fibula)
2 – Schienbein (Tibia)
3 – Sprungbein (Talus)
4 – Fersenbein (Calcaneus)
5 – Kahnbein (Os naviculare)
6 – Mittelfußknochen (Os metatarsi)
Das Sprunggelenk ist das Verbindungsgelenk zwischen dem Unterschenkel und dem Fuß. Man unterscheidet das obere Sprunggelenk (OSG) und das untere Sprunggelenk (USG). Beide Sprunggelenke zusammen sind funktionell ein Zylindergelenk (Articulatio cylindrica).
Oberes Sprunggelenk (OSG)
Im oberen Sprunggelenk (lat. Articulatio talocruralis; auch Knöchelgelenk) sind die unteren (distalen) Enden des Schienbeins (Tibia) und des Wadenbeins (Fibula) sowie das Sprungbein (Talus) die gelenkbildenden Knochen. Im Detail handelt es sich dabei um die durch den Innenknöchel (Malleolus medialis) des Schienbeins und den Außenknöchel (Malleolus lateralis) des Wadenbeins gebildete Malleolengabel (auch Sprunggelenksgabel) und die Sprungbeinrolle (Trochlea tali).
Die Malleolengabel wird durch die distale tibiofibulare Syndesmose zusammengehalten. Syndesmosenverletzungen finden sich bei etwa 16 % aller Sprunggelenksverletzungen und liegen typischerweise auch bei Weber-C- und teilweise bei Weber-B-Frakturen des Außenknöchels vor. Es werden vier Bänder unterschieden:[1]
- Das Ligamentum tibiofibulare interosseum ist der distale Anteil der Membrana interossea und kann als eigenständiges Band davon abgegrenzt werden. Der Faserverlauf ist schräg abwärts von der Tibia zur Fibula in lateral-distal-anteriorer Richtung. Das Band ist etwa 2-3 cm breit und endet etwa 1 cm oberhalb des Gelenkspaltes. Das Band trägt etwa 22 % zur Stabilität des Syndesmosenapparates bei.
- Das Ligamentum tibiofibulare anterius (vorderes Syndesmosenband) verläuft in schräger Richtung vom deutlich abgrenzbaren Tuberculum anterius (Tubercule de Chaput Tillaux) an der lateralen distalen Tibiakante zum Tuberculum anterius der Fibula. Es trägt zu etwa 35 % zur Syndesmosenstabilität bei.
- Das Ligamentum tibiofibulare posterius (hinteres Syndesmosenband) verbindet die Hinterkante des Außenknöchels mit dem Tuberculum posterius an der lateralen hinteren Tibiakante und hat einen deutlich horizontaleren Verlauf als das vordere Syndesmosenband. Es hat einen Anteil von etwa 9 % an der Syndesmosenstabilität.
- Das Ligamentum tibiofibulare transversum wurde teilweise als eigenes Band, teilweise als tiefer und distaler Anteil des hinteren Syndesmosenbandes beschrieben und hat ebenfalls eine horizontale Ausrichtung. Nach der vorderen Syndesmose trägt es mit etwa 33 % erheblich zur Stabilisierung der Syndesmose bei.
Die Mechanik des oberen Sprunggelenkes entspricht nicht ganz einem Scharniergelenk, weil dessen Achse schräg durch die Sprungbeinrolle und die Sprunggelenksgabel verläuft. Dies ermöglicht – vereinfacht beschrieben – die Senkung (Plantarflexion) und das Heben des Fußes (Dorsalflexion bzw. Dorsalextension). Darüber hinaus ist auch ein geringes Maß an Innen- und Außenrotation sowie eine Ein- (Pronation) und minimale Auswärtsdrehung (Supination) der Sprungbeinrolle möglich. Nach der Neutral-Null-Methode umfasst der Bewegungsumfang (plantar-dorsal) damit einen Bereich von 50°–0°–30°. Die Sprungbeinrolle erreicht allerdings nicht vollständig die Form eines Zylinders, da sie im vorderen Bereich breiter ist als hinten. Die geringfügigen Bewegungen zur Seite (Abduktion und Adduktion), welche beim gesenkten Fuß größer sind, sind somit bei angehobenem Fuß kaum mehr möglich. Das Sprunggelenk ist eines der am stärksten belasteten Gelenke des Körpers, da es bei jedem Schritt die gesamte Körperlast tragen und auf den Boden umsetzen muss.
Durch diese hohe Belastung und die nicht vollständig zylinderförmige Anatomie sowie die unterschiedliche Ausbildung von Bandverbindungen ergeben sich mannigfaltige Verletzungsmöglichkeiten, die vor allem die Bänder, aber auch die Knochen betreffen. Verletzungen des Sprunggelenks sind ausgesprochen häufig. Besonders die „Verstauchungen“ und das „Umknicken“ des Gelenks kommen oft vor.
Im Sprunggelenk entwickeln sich ohne vorausgegangene Verletzung im Vergleich zu anderen Gelenken seltener Abnutzungserscheinungen (Arthrosen). Die meisten Arthrosen des Sprunggelenkes sind somit sekundäre (posttraumatische) Arthrosen, also Spätfolgen schwerer oder unzureichend behandelter Verletzungen wie Sprunggelenkverrenkungsbrüchen oder komplexer Kapsel-Band-Verletzungen. Entwicklungen und Techniken, die am Kniegelenk ausgereift sind, um die Knorpeloberfläche zu verbessern (Transplantation von Knorpelzellen oder von Knorpel-Knochenzylindern) oder durch eine Endoprothese (künstliches Gelenk) zu ersetzen, gelingen mittlerweile auch am Sprunggelenk. Die Behandlungsmöglichkeiten sind noch eingeschränkt, vor allem, weil das Gelenk unregelmäßig sowie sehr eng geformt ist und damit einer mannigfaltigen arthroskopischen Behandlung nicht so gut zugänglich ist wie beispielsweise das Kniegelenk. Grundsätzlich wird in vielen Fällen ein gestuftes Therapieschema angewendet und mit der konservativen Behandlung (einschließlich schuhtechnischer Maßnahmen) begonnen, die in einigen Fällen zu jahrelanger Linderung der Beschwerden führt. Wenn bei einer Arthroseentwicklung diese Möglichkeiten erschöpft sind, gibt es im Wesentlichen zwei operative Therapie-Optionen: Die Versteifung des oberen Sprunggelenkes (Arthrodese des OSG) oder der Einbau eines künstlichen Gelenkes (Sprunggelenk-Endoprothese).
Unteres Sprunggelenk (USG)

Das untere Sprunggelenk (lat. Articulatio talotarsalis) ist Teil des Fußes und wird seinerseits wiederum in das vordere untere (Articulatio talocalcaneonavicularis) und das hintere untere Sprunggelenk (Articulatio subtalaris, Articulatio talocalcanearis) unterteilt. Die beiden Kammern werden durch das Sprungbein-Fersenbein-Band (Ligamentum talocalcaneum interosseum) getrennt, dieses Band verläuft im Canalis tarsi. Die Funktion dieses Bandes ist vor allem die Führung von Blutgefäßen zur Ernährung des Sprungbeins.
Die hintere Kammer des unteren Sprunggelenks (Articulatio subtalaris) wird von Sprungbein (Talus) und Fersenbein (Calcaneus) gebildet. Hier stehen die hintere Gelenkfläche des Fersenbeins (Facies articularis calcanea posterior) und die hintere Gelenkfläche des Sprungbeins (Facies articularis talaris posterior) in Verbindung. Die vordere Kammer des unteren Sprunggelenks (Articulatio talocalcaneonavicularis) wird von Sprungbein, Fersenbein und Kahnbein (Os naviculare) gebildet. Hierbei artikulieren vordere und mittlere Gelenkfläche des Fersen- und Sprungbeins miteinander. Eine weitere gelenkige Verbindung, das Talonavikulargelenk, besteht zwischen Sprungbein und Kahnbein, hierbei stehen die entsprechenden Gelenkflächen des Sprungbeins (Facies articularis talaris) und des Kahnbeins (Facies articularis navicularis) in gelenkiger Verbindung. Fersen- und Kahnbein bilden gemeinsam eine Mulde, in der das Sprungbein nur eine Bewegungsachse hat.
Diese Bewegungsachse des unteren Sprunggelenks verläuft vom Zentrum des Kahnbeins zur Außenseite des Fersenbeins. Der Winkel zur Horizontalebenen beträgt ungefähr 30°, der Winkel zur Sagittalebene etwa 20°. Im unteren Sprunggelenk sind also nur zwei Bewegungen möglich: 20° Eversion (Heben der Außenseite des Fußes) und 35° Inversion (Heben der Innenseite des Fußes) aus der Neutral-Null-Stellung.
Bänder des Sprunggelenkes

Das Sprunggelenk wird durch eine Reihe von Bändern zusammengehalten. Das Deltaband (Ligamentum deltoideum oder Ligamentum collaterale mediale) besteht aus einem Schienbein-Kahnbein-Teil (Pars tibionavicularis), einem Schienbein-Fersenbein-Teil (Pars tibiocalcanea) und einem vorderen und hinteren Schienbein-Sprungbein-Teil (Pars tibiotalaris anterior und posterior). Das Außenband (Ligamentum collaterale laterale) wird vom vorderen und hinteren Sprungbein-Wadenbein-Band (Ligamentum talofibulare anterius und Ligamentum talofibulare posterius) sowie einem Fersenbein-Wadenbein-Band (Ligamentum calcaneofibulare) gebildet. Die Sprunggelenksgabel wird durch das vordere und hintere Schienbein-Wadenbein-Band (Ligamentum tibiofibulare anterius und Ligamentum tibiofibulare posterius) zusammengehalten.
Die Außenbänder sind besonders häufig von Umknickverletzungen betroffen; man spricht in diesem Fall von einer Außenbandruptur. Umknickverletzungen führen oftmals zu Schädigungen des Kapsel-Bandapparates (Bänderzerrung, -dehnung, -zerreißung). Knöcherne Verletzungen treten eher selten auf (Bruch der Außen- und Innenknöchel, Riss des Verbindungsbandes zwischen Schien- und Wadenbein). Die Sprunggelenke sind mit etwa 20 % aller Sportverletzungen sehr häufig betroffen.
Siehe auch
- Sprunggelenk - Artikel in der deutschen Wikipedia
Literatur
- H. Ferner, J. Staubesand: Sobotta. Atlas der Anatomie des Menschen. 18. Auflage. Urban & Schwarzenberg, 1982, ISBN 3-541-02828-9.
- Herbert Lippert: Lehrbuch Anatomie. 8. Auflage. Elsevier, 2011, ISBN 978-3-437-42365-9.
Weblinks
Einzelnachweise
- ↑ K. E. McKeon, R. W. Wright, J. E. Johnson, J. J. McCormick, S. E. Klein: Vascular anatomy of the tibiofibular syndesmosis. In: Journal of Bone and Joint Surgery. [Am] 2012; Band 94-A, S. 931–938.
| Dieser Artikel basiert auf einer für AnthroWiki adaptierten Fassung des Artikels Sprunggelenk aus der freien Enzyklopädie de.wikipedia.org und steht unter der Lizenz Creative Commons Attribution/Share Alike. In Wikipedia ist eine Liste der Autoren verfügbar. |










